افت شناسایی مبتلایانِ سل در سایه کرونا / تشخیص و درمان رایگان بیماری در کشور

رئیس اداره کنترل سل و جذام مرکز مدیریت بیماری‌های واگیر وزارت بهداشت با اشاره به شباهت‌های دو بیماری کرونا و سل،‌ تاکید کرد: کرونا آسیب‌های زیادی به نظام سلامت وارد کرد، در مورد بیماران مسلول نیز سبب شد تا با افت شناسایی این بیماران مواجه شویم؛ بطوری که در سال اول پاندمی کرونا، ۲۸ درصد افت شناسایی موارد مسلول را شاهد بودیم و به عبارتی تقریبا یک سوم بیماران مبتلا به سل را نتوانستیم شناسایی کنیم.

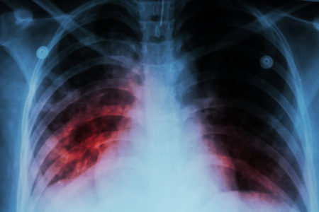
دکتر مهشید ناصحی در گفت‌وگو با ایسنا، با اشاره به شعار امسال روز جهانی سل مبنی بر “مشارکت همه جانبه جامعه، مسیر مطمئن برای دستیابی به حذف سل”، گفت: سل یک بیماری عفونی واگیر است که در اثر میکروبی ایجاد می‌شود که می‌تواند به هر قسمتی از بدن انسان مانند استخوان‌ها، مفاصل، مغز، کلیه، پوست و …حمله و آن‌ها را گرفتار کند، اما به دلیل نیاز و علاقه زیاد این میکروب به اکسیژن، در ۸۰ درصد موارد ریه‌ها را هدف حمله خود قرار می‌دهد.

“سل” چگونه منتقل می‌شود؟

او با اشاره به اینکه راه اصلی انتقال میکروب سل از طریق هوا و تنفس است، تصریح کرد: هنگام عطسه، سرفه، حرف زدن و حتی خندیدن بیمار مبتلا به سل ریوی، قطراتی ریز حاوی میکروب در هوا پراکنده می‌شوند که می‌توانند به مدت چند ساعت در هوا به حالت معلق باقی بمانند. اگر فردی سالم در هوای آلوده به این قطرات ریز، تنفس کند میکروب سل وارد ریه‌های او خواهد شد. با این حال برای انتقال بیماری، معمولا تماس طولانی و نزدیک با بیمار لازم است. بیماری سل در محیط‌های شلوغ، کوچک، بدون تهویه مناسب، کم نور و مرطوب بیشتر انتقال پیدا می‌کند. به یاد داشته باشید که میکروب سل توسط حشرات، خون، ظروف غذاخوری، لباس و ملحفه انتقال نمی‌یابد. 

وی با بیان اینکه افراد مبتلا به سل ریوی، عفونت‌زا محسوب می‌شوند، اظهار کرد: این افراد با هر عطسه یا سرفه تعداد زیادی میکروب را در هوا پراکنده کرده و می‌توانند باعث انتقال بیماری به دیگران شوند. هر فرد مبتلا به سل ریوی در صورت عدم درمان می‌تواند سالانه به طور متوسط میکروب بیماری را به ۱۰ الی ۱۵ فرد سالم انتقال دهد. البته اغلب افراد پس از ورود میکروب به ریه‌ها هیچ گاه بیمار نمی‌شوند؛ زیرا سیستم دفاعی بدن آنها میکروب را مهار کرده و از تکثیر آن جلوگیری می‌کند و در واقع میکروب سل به حالت نهفته و غیر فعال در بدن آنان باقی می‌ماند و این عده علائم بیماری را نداشته و میکروب را به دیگران انتقال نمی‌دهند.

افزایش احتمال بروز “سل فعال” در بیماران زمینه‌ای

ناصحی با اشاره به اینکه معمولا از هر ۱۰ نفر که میکروب سل در بدنش وجود دارد تنها یک نفر در طول عمر خود ممکن است به بیماری فعال سل مبتلا شود، بیان کرد: این موضوع به علت ضعیف شدن سیستم دفاعی بدن و به دنبال آن فعالیت مجدد و تکثیر میکروب اتفاق می‌افتد. همه افراد استعداد ابتلا به سل را دارند، اما کودکان کم سن، افراد سالمند، افراد مبتلا به دیابت، سوء تغذیه، سرطان‌ها، نارسایی مزمن کلیه، ایدز و همچنین افرادی که داروهای ضعیف کننده سیستم دفاعی بدن (نظیر کورتون و داروهای ضد سرطان) استفاده می‌کنند، بیشتر از سایرین در معرض خطر ابتلا به سل هستند. 

سل ریوی؛ شایع‌ترین نوع بیماری

وی افزود: با توجه به علاقه زیاد میکروب سل به ریه‌ها، شایع‌ترین نوع بیماری، سل ریوی است که افراد مبتلا معمولا علائمی نظیر سرفه مداوم (به مدت۲ هفته یا بیشتر) دارند که این سرفه‌ها می‌تواند با خلط همراه باشد یا نباشد، تب، کاهش وزن، تعریق شبانه، بی‌اشتهایی، خستگی زودرس و ضعف عمومی و گاهی در مواردی که بیماری دیر تشخیص داده می‌شود درد قفسه سینه، تنگی نفس و خلط خونی دارند. 

سل درمان‌پذیر است؛‌ اما…

او ضمن درمان‌پذیر خواندن سل، تاکید کرد: شرط درمان‌پذیری این است که بیمار داروهای ضد سل را با دقت، به طور کامل و منظم، برای مدتی که پزشک تعیین می‌کند (که طول مدت آن کمتر از شش ماه نیست) مصرف کند؛ حتی اگر بیمار قبل از اتمام این مدت احساس بهبودی کرده باشد. در غیر این صورت میکروب‌های سل می‌توانند به ابر میکروب‌های مقاوم به درمان و بسیار خطرناک تبدیل شوند که دیگر با داروهای معمول سل درمان نخواهند شد. مصرف نامنظم و ناکامل داروهای ضد سل خطرناک بوده و می‌تواند موجب عدم بهبود و یا بازگشت مجدد بیماری، تداوم انتقال بیماری به دیگران، مقاوم شدن میکروب‌های سل نسبت به داروهای موجود، پیشرفت بیماری و حتی مرگ شود.

آمار ابتلا به سل در ایران و استان‌های رکورددار

وی درباره موارد شناسایی شده مبتلا به سل در کشور طی سال ۱۴۰۰، گفت: در این سال ۶۲۵۲ مورد مبتلای سل در کشور به ما گزارش شد که از این تعداد ۴۶ درصد زن و ۵۴ درصد مرد بودند. درعین حال همچنان استان‌های سیستان و بلوچستان و گلستان رکورددار ابتلا به سل هستند و پس از آن‌ها استان‌های گیلان، خراسان رضوی و خوزستان در رتبه‌های بعدی قرار دارند. البته هیچ استانی نداریم که موردی از ابتلا به سل نداشته باشد و شاید عجیب به نظر آید اگر بشنوید که در استان تهران، میزان بروز سل به نسبت جمعیت، از متوسط کشوری بالاتر است. در آمار ذکر شده نسبت اتباع مبتلا به سل در کشور در مقایسه با قبل افزایش یافته است؛ یعنی در آمار ذکر شده طی سال ۱۴۰۰ حدود ۲۰ درصد مبتلایان، غیر ایرانی بودند.

افت شناسایی مبتلایانِ سل در سایه کرونا / تشخیص و درمان رایگان بیماری در کشور

تشخیص و درمان سل فارغ از ملیت، رایگان است

رئیس اداره کنترل سل و جذام مرکز مدیریت بیماری‌های واگیر وزارت بهداشت، تاکید کرد: تشخیص و درمان سل فارغ از ملیت، رایگان است که اگر چه بخشی از آن به دلایل بشر دوستانه است ولی دلیل عمده این سیاست بهداشتی آن است که تشخیص و درمان بیماران، اصلی‌ترین راه پیشگیری از بیماری در جامعه است؛ چون هر فرد مبتلا به سل ریوی در صورت عدم درمان می‌تواند ۱۰ تا ۱۵ نفر دیگر را در طول یک سال آلوده کند؛ بنابراین بیماران می‌بایست صرف نظر از ملیت  هرچه سریع‌تر شناسایی و درمان ‌شوند تا چرخه انتقال به سایر افراد جامعه متوقف شود.

کرونا عامل افت شناسایی بیماران مسلول

او درباره آمار مبتلایان به سل طی سال جاری تاکنون، توضیح داد: براساس آنچه که تاکنون در سامانه‌های ما به ثبت رسیده است ۳۴۷۲ مورد مبتلا به سل در سال ۱۴۰۱ ثبت شده است و این یعنی در هر ۱۰۰هزار نفر جمعیت، ۸.۲ نفر مبتلا به سل شناسایی شده است. این میزان بروز در سال گذشته (۱۴۰۰) ۷.۴ بوده است؛ این درحالی است که سال قبل از شیوع کرونا در کشور (یعنی ۱۳۹۸) این میزان ۹.۷ در هر ۱۰۰ هزار نفر بوده است.

وی افزود: با رخداد کرونا به دلیل اینکه بخش قابل توجهی از منابع انسانی و مالی در حوزه بهداشت، به کرونا اختصاص یافت، به طور کلی بسیاری از برنامه‌های بهداشتی تحت تاثیر قرار گرفت که موضوع بیماری سل هم از این قاعده مستثنی نبود و حتی می‌توان گفت به دلیل شباهت علائم کرونا با سل، این بیماری بیشتر هم تحت تاثیر منفی واقع شد. این عوامل سبب شد تا در سال اول پاندمی کرونا، ۲۸ درصد افت شناسایی موارد مسلول را داشته باشیم؛ به عبارتی تقریبا یک سوم بیماران مبتلا به سل را نتوانستیم شناسایی کنیم.

افت شناسایی مبتلایانِ سل در سایه کرونا / تشخیص و درمان رایگان بیماری در کشور

هدف‌گذاری “حذف سل” تا سال ۲۰۵۰

او تاکید کرد: آمارهای سالانه به ما نشان می‌دهد که تدریجا در حال ترمیم شکاف و نقص در شناسایی موارد مسلول طی سال‌های کرونا هستیم، اما واقعیت این است که انتظار ما بیش از این است؛ زیرا پس از گذشت ۲ سال و نیم از شیوع کرونا هنوز هم با سال قبل از آغاز همه‌گیری کرونا، در شناسایی بیماران مبتلا به سل ۱۵ درصد فاصله داریم و این سرعت عمل برای دستیابی بهنگام به “حذف بیماری سل” که برای سال ۲۰۵۰ میلادی هدف‌گذاری شده، بسیار ناکافی است.

جلب مشارکت مردمی مهم‌ترین اقدام برای حذف سل

ناصحی بیان کرد: بر این اساس شکی نیست که بهبود این شاخص‌ها و دستیابی به حذف سل بدون وجود یک عزم و سرمایه گذاری ملی و مشارکت همه جانبه مردمی امکانپذیر نیست و به نظر بنده اگر برداشت ما از عبارت «سرمایه گذاری ملی و مشارکت عمومی»، تنها ابعاد مالی آن باشد، دچار خطای بزرگی شده‌ایم. به عبارت دیگر اگر بخواهیم یک سرمایه‌گذاری جدی، مطمئن و ماندگار برای تحقق هدف حذف بیماری سل در کشور داشته باشیم، ساده‌ترین، موثرترین و کم هزینه‌ترین راهکاری که به سرعت می‌تواند اجرایی شود، در مقیاس وسیع گسترش یابد و ما را به نتیجه دلخواه برساند، جلب مشارکت مردم در انتقال پیام‌های آموزشی است. پیام‌هایی کوتاه و مختصر که برآیند و بازتاب انتشارشان در ابعاد وسیع، فراتر از یک افزایش آگاهی و اطلاعات عمومی است و به شکلگیری یک مطالبه جدی سلامت محور در بطن جامعه منتهی می‌شود و بدیهی است که وقتی این موضوع به یک مطالبه مردمی بدل شود، به خوبی و به خودی خود نقش موتور محرکه لازم را برای جلب حداکثری توجهات و منابع مورد نیاز برای این برنامه استراتژیک و مهم بهداشتی را بازی خواهد کرد.

۴ اصل مهم درباره “سل”

وی در تشریح پیام‌های آموزشی، اظهار کرد: مهم‌ترین نکاتی که مردم باید درباره این بیماری بدانند مشتمل بر چهار اصل است. اصل اول می‌گوید هنوز بیماری سل در همه استان‌های کشور ما وجود دارد و یک مشکل و اولویت بهداشتی محسوب می‌شود. اصل دوم تاکید می‌کند این بیماری برخلاف تصور دیرینه مردم، چندین دهه است که به یک بیماری کاملا قابل درمان تبدیل شده است. اصل سوم می‌گوید از آنجایی که شاه‌علامت ابتلا به سل ریوی، داشتن سرفه طول کشیده بیش از ۲ هفته است، در صورت داشتن این علامت، باید به سل هم فکر شود و درنهایت اصل چهارم دانستن این نکته است که تشخیص و درمان سل در شبکه بهداشتی کشور رایگان است.

ساز و کار فعالیت آزمایشگاه‌های تشخیص سل

ناصحی در ادامه درباره وضعیت دسترسی به داروهای درمان کننده سل و ابزارهای تشخیص و شناسایی آن، توضیح داد: در هر شهرستان کشور حداقل یک آزمایشگاه تشخیص میکروسکوپی سل با خدمات رایگان فعال است و در هر استان حداقل یک آزمایشگاه رایگان کشت سل وجود دارد (توضیح آنکه در برخی شهرستان‌ها و استان‌ها بیش از یک آزمایشگاه میکروسکوپی و کشت سل موجود است.) در واقع در حال حاضر تعداد ۴۲۳ آزمایشگاه میکروسکوپی و ۵۱ آزمایشگاه کشت سل در کشور خدمات تشخیصی رایگان ارائه می‌کنند. علاوه بر این موارد، یک قطب کشوری و ۹ قطب مرجع منطقه‌ای آزمایشگاهی نیز داریم که علاوه بر آزمایشات میکروسکوپی و کشت، آزمایشات پیچیده‌تر میکروب‌شناسی سل نظیر روش‌های مولکولی و تعیین مقاومت دارویی را نیز به صورت رایگان ارائه می‌دهند.

۴۱ دستگاه پیشرفته تشخیص سریع مولکولی سل در کشور

او تصریح کرد: ساختار این آزمایشگاه‌ها به صورت سطح‌بندی شده و متصل به هم طراحی شده است و به طور معمول نمونه‌های تهیه شده از بیماران توسط مراکز خدمات جامع سلامت و پایگاه‌ها یا خانه‌های بهداشت تابعه آنها اخذ و برای بررسی رایگان به این آزمایشگاه‌ها منتقل می‌شود؛ به عبارت دیگر غالبا نیازی به مراجعه مستقیم بیماران به آزمایشگاه نیست و نمونه‌ها توسط نزدیک‌ترین واحد بهداشتی به محل سکونت یا کار فرد، دریافت و به آزمایشگاه ارسال می‌شود. همچنین شبکه آزمایشگاهی کشور با یک توزیع نسبتا خوب جغرافیایی به ۴۱ دستگاه پیشرفته تشخیص سریع مولکولی سل مجهز شده است. لازم به ذکر است که این دستگاه‌ها که طول مدت تشخیص را به ۹۰ دقیقه کاهش می‌دهند به دلیل آنکه انحصارا توسط یک شرکت آمریکایی تولید می‌شوند با مساعدت و همکاری دفتر توسعه سازمان ملل متحد در ایران تامین شده‌اند.

نحوه ارائه دارو به بیماران مبتلا به سل در شبکه بهداشتی

وی درباره وضعیت دارو درمانی مبتلایان به سل،‌ اظهار کرد: داروهای مورد استفاده در درمان بیماران مبتلا به سل توسط سیستم بهداشت کشور تامین و به صورت رایگان از طریق نزدیکترین مرکز یا پایگاه یا خانه بهداشت نسبت به محل سکونت یا کار بیماران در اختیار آنها قرار می‌گیرد.

او ادامه داد: ترجیح ما این است که این داروها تحت نظارت روزانه یک ناظر آگاه (ترجیحا کارمند بهداشتی) توسط بیمار مصرف شود و دلیل این امر آن است که درمان سل حداقل شش ماه طول می‌کشد و از آنجایی که پس از چند هفته از شروع درمان، بیمار به طور قابل توجهی احساس بهبودی در وضعیت بالینی خود می‌کند، احتمال آنکه عمدا یا سهوا درمان را قطع و یا به طور نامنظم ادامه دهد، وجود دارد و لذا مصرف تحت نظارت روزانه یک شخص مطلع ثالث، می‌تواند مصرف منظم و تکمیل دوره درمانی را تضمین کند. در سال‌های اخیر از قالب‌ها و برنامه‌های کاربردی موجود در فضای مجازی برای نظارت تصویری و از راه دور بر مصرف دارو نیز استفاده می‌شود.

او ادامه داد: با شناسایی هر مورد مبتلا به سل ریوی، افراد خانواده فرد مبتلا، به صورت فعال توسط همکاران بهداشتی بررسی می‌شوند و اگر موردی از بیماری در آنها شناسایی شود، اقدامات تشخیصی و درمانی رایگان برایشان انجام می‌شود و اگر بیماریِ سل فعال نداشته باشند اما مشخص شود میکروب سل در بدن‌شان وجود دارد،‌ درمان پیشگیری هم برایشان به صورت رایگان تجویز می‌شود.

انتهای پیام